Lama Biliar
Lama Biliar: o que é e quando devemos nos preocupar?

Antes de entrar no tema lama biliar, devemos saber um pouquinho da fisiologia envolvida:
A vesícula biliar é um órgão oco, localizado atrás do fígado e ligado a ele pelas vias biliares. Este órgão serve pra armazenar a bile.
A bile por sua vez é uma substância amarelo esverdeada produzida no fígado e formada por água, ácidos biliares, colesterol, eletrólitos, bilirrubina entre outros. Sendo sua principal função é auxiliar na digestão de gorduras no intestino.
Toda vez que é ingerido um alimento que contenha gordura, essa vesícula biliar é contraída, liberando a bile diretamente na primeira porção do intestino.
Bem, e o que é a lama biliar? É basicamente quando essa bile fica espessada e se acumula dentro da vesícula, podendo ir de um estágio leve a um grave, sendo o estágio grave dessa condição quando ela se adere a parede da vesícula biliar e ocupa todo seu volume, podendo levar a inflamação da vesícula (colecistite), obstrução dos ductos biliares e até ruptura da vesícula
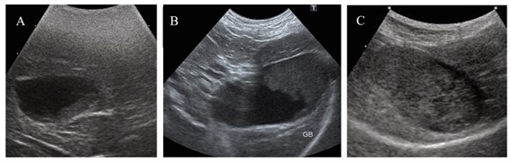
A lama biliar é identificada através de ultrassonografia abdominal, e é um achado relativamente comum, principalmente em cães mais idosos. E é classificada de acordo com quanto espaço ela está ocupando dentro da vesícula:
*a parte escura em formato redondo é a vesícula biliar e o conteúdo cinza dentro dela é a lama. A bile fluida e saudável não aparece com cor diferente no ultrassom.

E porque essa bile se transforma em lama?
Muitos estudos vêm sendo conduzidos em busca dessa resposta. Sabe-se que a composição básica da lama biliar é formada por colesterol, sais de cálcio, glicoproteínas, restos celulares e mucina. Pode ser um achado de exame nos cães (variação de 35% a 67% em cães saudáveis), mas em humanos é sempre considerado anormal. Uma das possibilidades para formação da lama biliar seria a estase biliar (que uma das causas pode ser o aumento da produção de colesterol) e hipersecreção de muco.
Sendo o colesterol uma substância que pode estar envolvida no curso da condição, doenças que levam ao aumento do triglicéride e colesterol também podem ser causas predisponentes, entre elas o hiperadrenocorticismo (ou Sindrome Cushing), o hipotireoidismo e a dislipidemia primária. E portando em tais casos, deve-se manter atenção redobrada as análises de ultrassom. Além disso algumas raças parecem mais comum a formação de lama biliar como no Pastor de Shetland, Schnauzer Miniatura, Chihuahua, Spitz Alemão e Cocker Spaniel.
Quando a lama biliar passa ser um problema?
Como dito anteriormente sobre os graus da condição, quanto maior a ocupação a vesícula biliar por lama, maior a probabilidade de causar danos.
E isso passa a ser mais preocupante quando a lama começa ficar aderida dentro da vesícula biliar (o veterinário ultrassonografista consegue avaliar se a lama está aderida ou não na vesícula através de movimentação durante o exame).
Também passa a ter importância clínica quando há dilatação dos ductos biliares e o paciente apresente sinais clínicos sugestivos de inflamação da vesícula, como vômitos, inapetência, associada a alteração de exames laboratoriais.
Aqui aproveito para abrir um parênteses sobre os felinos: estes tem uma anatomia um pouco diferente dos cães quando se trata da via biliar, e eles estão muito mais predispostos a ter consequências da lama biliar e dilatação dos ductos biliares principalmente relacionado a infecção por bactérias ascendentes (que sobem do intestino).
Como tratar?
Uma vez diagnosticada a presença de lama e seu grau de alteração o veterinário deverá investigar se há elevação de colesterol sanguíneo e as doenças que possam causar o aumento do mesmo. Tratando a causa de base primariamente.
Quando a lama biliar encontra-se num estágio moderado, o veterinário poderá prescrever medicação que ajuda na fluidificação desse conteúdo, e a principal droga nesse sentido é o ácido ursodesoxicólico, o tempo de uso irá depender da causa de base e da evolução através de controles ultrassonográficos. Alguns animais poderão fazer uso contínuo da medicação. A dieta também poderá ser mudada para alimentação com baixo nível de gordura.
Se este paciente não responder bem ao tratamento clínico, e essa lama biliar evoluir para um estágio grave, fica indicado a remoção cirúrgica dessa vesícula biliar, para evitar o risco de ruptura, que é uma emergência cirúrgica.
Em resumo:
A lama biliar pode ser um achado nos exames de imagem de pacientes saudável, mas sempre deve ser monitorado com repetição desse ultrassom periodicamente, bem como investigar se há outras doenças que possam estar colaborando para sua formação.
Maricy Alexandrino - Médica Veterinária
Referências Bibliográficas:
BUTLER T. et al. A multicenter retrospective study assessing progression of biliary sludge in dogs using ultrasonography. Jounal of Veterinary Internal Medicine.2022
IZUTANI S. et al. Retrospective analysis of canine gallbladder contents in biliary sludge and gallbladder mucoceles, J Vet Med Sci. 2016 Dec 17;79(2):366–374
KAKIMOTO, T. et al. Bile acid composition of gallbladder contents in dogs with gallbladder mucocele and biliary sludge, Am J Vet Res. 2017 Feb;78(2):223-229
KUTSUNAI M. et al. The association between gall bladder mucoceles and hyperlipidaemia in dogs: A retrospective case control study, The Veterinary Journal . 2014 n.199: 76–79
Avenida Carlos Gomes, nª 243
Zona 05, Maringá-Pr
Cep: 87015-200
Telefone: (44) 3225-7209
Atendimento exclusivamente com hora marcada.
* Para seu maior conforto damos prioridade ao atendimento com hora marcada, priorizando o seu tempo, e diminuindo o stress de seu animal pelo pouco tempo em sala de espera (exceto emergências)